甲肝的患者在患病的初期并不会有特别明显的表现,部分患者会出现食欲不振、四肢无力、低热以及小便颜色加深的情况。随着甲肝患者病情的不断发展,会发现有黄疸的情况出现,多数患者还会有畏寒的情况产生,体温一般在三十九度...
最近,河北的张大妈参加了退休职工的常规体检,张大妈查了查自己的血压,电子血压计显示张大妈的血压为130/95,张大妈对血压的常识一点都不了解,也不知道自己的这个血压数值到底正常不正常,其实血压的常识普通人也可以做到完全...
 肾囊肿可以多吃一些含有蛋白质丰富的食物,也可以多吃一些高热量的食物,同时也可以使用一些含有维生素和矿物质的食物。食物方面不仅仅需要多加上心,还可以通过食疗的方法进行合理搭配。搭配健康的食谱,这样不仅可以治疗...
人们在经过了长期的劳累工作之后一定要进行及时的放松缓解,放松缓解身心,不仅仅缓解皮肤的劳累,还可以放松自己。在经过长期的工作劳累之后可以进行适当的按摩,给肌肉一个舒缓的过程。这样就不会导致后期出现酸痛的现象。...
手足口病通常是由日常护理没有及时,而且没有注意卫生和清洁,这就导致了容易患上这样的细菌感染病。通常情况下,手足口病是很平常的一种疾病,目前只要通过外用的药膏治疗和内用的药物治疗相结合,一般一个星期左右就可以痊愈...
 白带颜色出现异常,属于妇科症状的一种,为了避免病情恶化,要是错过最佳的治疗时机,建议出现白带颜色异常后,应该尽快的采取治疗,医生会根据检查的结果来确定治疗的方案,所以希望女性可以配合医生做检查。    正常的白带...
要想治疗宫腔粘连就需要及时的进行检查,现如今能够检查宫腔粘连的方法有子宫探针检查、子宫腔镜检查、子宫碘油造影检查、病理检查、实验室检查和影像学检查等,医生需要根据患者的检查结果和临床表现进行有效的治疗。 ...
女性在刚刚开始怀孕的时候,也就是孕早期,这个时间对于胎儿的发育是很关键的,所以孕妈妈们有很需要注意的地方,因为很多孕妈妈都说是初次怀孕,所以对于注意些什么就不是特别清楚,所以今天我们就来给大家介绍一下宫内早孕的注...
 北京的王女士的宝宝已经出生6个月了。最近王女士突然发现宝宝出现了枕秃的现象。于是王女士赶紧上网查资料,看枕秃到底是怎么引起的。结果网上大部分人都认为宝宝出现枕秃是因为宝宝缺钙。那么作为父母来说,到底如何...
 因为先天性疾病的治疗是个非常困难的技术,所以目前来说治疗先天性高肩胛症主要是通过手术治疗。但是,手术治疗之后的效果还需要长期坚持的服药治疗才能看出。如果孩子从一出生就患上了先天性高肩胛症,父母千万不要放弃...
如果孩子突然出现咳嗽,咳痰,呼吸急促等症状,父母就一定要及时将孩子送到医院进行检查治疗。因为如果是支气管炎疾病的话,就有可能因为没有得到及时治疗而影响肺部健康。如果肺部健康受到影响,在后期就会导致有一堆的并发症...
【2017年8月8日 讯】近日,四川媒体报道,在成都凯丹广场嘉禾影城内,一名中年男子在观看电影《战狼2》时突发心脏疾病,该名男子浑身出冷汗,然后意识丧失、濒死喘息,经过现场影院的医护人员抢救后,仍然无力回天,不幸去世。这件事...
游泳,是夏天一个非常热门的运动,而且,每到夏天,游泳馆就会经常满人,非常的热闹。那么,对于一些不会游泳的人来说,想去尝试却又不知道如何去做呢,怎么去游泳呢?小编有以下方法教导大家,大家可以参考参考,学习学习下。  学习游...
患有脑炎通常会出现全身的毒血症状,例如头部疼痛、体温升高、四肢无力、恶心呕吐等,少数的脑炎患者还会出现心肌炎或者出血疹的情况。患有脑炎还会产生神经系统的症状,最突出的神经系统症状就是意识障碍,颈肌及肩胛肌弛缓...
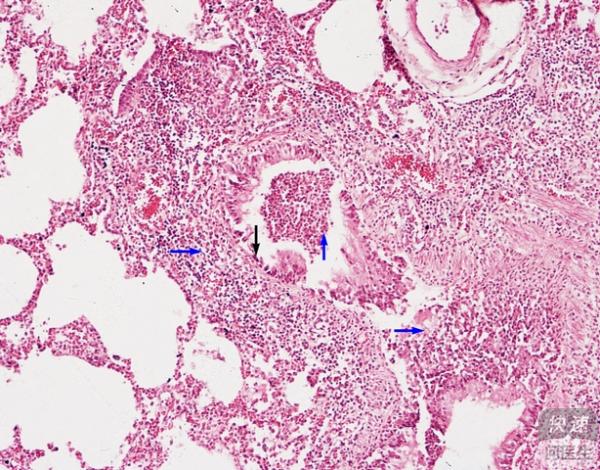
胸腔积水这个疾病十分的复杂,大部分对于这个疾病都感觉十分的陌生,医学研究表明引发这个疾病产生是由于多种因素相互作用的结果,这其中最常见的就是血液循环障碍而引起的,此外还有心脏类的疾病、肝脏类的疾病以及慢性贫血...
 肝郁肾虚的症状主要有腰部酸痛,睡觉时不稳定,心情烦躁郁闷,这通常在日常生活中是可以表现出来的。所以,当有这些症状的时候,人们一定不要慌张,需要及时到医院进行检查。然后根据医生开出来的处方进行长期的药物服用,还要一...
唐山的老李已经患有病毒性肝炎很多年了。每年,老李都会到医院做常规的体检,顺便监测一下自己的肝脏的健康状况,看看有无癌变。最近一次体检,医生建议建议老李查查癌胚抗原的情况。但是老李对于癌胚抗原这种指标还不是很了...
 目前筋膜炎这个疾病的发病原因并不是很明确,一般认为与免疫系统的感染、创伤、寒冷、血管炎、遗传的因素、不良的生活习惯有关。另外当人体受到风寒的刺激、外伤、睡眠位置不当以及疲劳等情况,也会引发筋膜炎的出现。...
患有血吸虫病一定要坚持早发现、早检查、早诊断和早治疗的原则,目前能够检查血吸虫病的方法有很多,通常采用的是皮内试验检查、检测抗体、检测循环抗原检查、病原检查、直肠黏膜活体组织检查、实验室检查以及影像学检查...
 有些人患有某种疾病的时候,肯定会产生很大的心里压力,有时候就连自己的病症从来都没有听说过,那么漏斗胸就是其中的一种,我想很多人并不知道什么是漏斗胸,其实它也是一种疾病,只不过这种疾病经常会出现在幼儿身上。   ...