核心提示:牛皮癣性关节炎是一种血清阴性(即血清类风湿因子阴性)的关节炎,典型地表现为慢性、复发性、良性丘疹鳞屑性的皮肤损害、指(趾)甲损害、慢性、复发性、侵蚀性的多关节炎周围和(或)脊椎关节和以前葡萄膜炎、结膜炎为主...
核心提示:膝关节内侧副韧带是膝关节重要的静力性稳定因素,其主要功能是限制作用和制导作用。当韧带承受的应力超过其屈服点,即完全断裂的标志点后常为撕裂伤,仍可能保持大体形态的连续性,但其维持关节稳定的张力明显丧失,出...
核心提示:腰骶部对于每一个人而言是非常重要的,但是若是出现任何的不适,那么对我们的生活的影响是比较大的,而且也会给患者的精神上带来很大的影响。所以,在日常生活中要注意预防,尤其是久坐的人。  腰骶部是人体重要的一...
核心提示:骨盆骨折是一种严重外伤,占骨折总数的1%~3%,多由高能外伤所致,半数以上伴有合并症或多发伤,致残率高达50%~60%。最严重的是创伤性失血性休克及盆腔脏器合并伤,救治不当有很高的死亡率,可达10.2%。跟着小编去认识一下...
核心提示:肱骨干骨折系指肱骨外科颈以下1~2厘米至肱骨髁上2厘米之间的骨折。多发于骨干的中部,其次为下部,上部最少。中下1/3骨折易合并桡神经损伤,下1/3骨折易发生骨不连。跟着小编去认识一下关于肱骨干骨折的相关知识吧...
核心提示:肌张力障碍(dystonia)是主动肌与拮抗肌收缩不协调或过度收缩引起的以肌张力异常的动作和姿势为特征的运动障碍综合征,具有不自主性和持续性的特点。跟着小编去认识一下关于肌张力障碍的相关知识吧。一、肌张力障...
核心提示:现在很多人因为忙于工作而忽略了对身体的关心,其实身体的健康才是最重要的,对于很多的骨盆骨折患者来说,造成骨盆骨折病症的主要原因都是因为平时一些不好的习惯造成的。接下来为大家介绍一下骨盆骨折的护理措施...
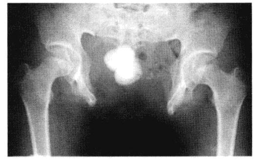
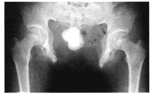
核心提示:耻骨联合分离症,是指骨盆前方两侧耻骨纤维软骨联合处,因外力而发生微小的错移,表现耻骨联合距离增宽或上下错动出现局部疼痛和下肢抬举困难等功能障碍的软组织损伤性疾病。跟着小编去认识一下关于耻骨联合分离的...
核心提示:肩周炎是肩关节周围肌肉、肌腱、滑囊和关节囊等软组织的慢性无菌性炎症,一般在秋后开始出现,随着气温的降低,冬季发病人数逐渐增多,炎症会导致关节内外粘连,从而影响肩关节的活动。其病变特点是广泛,即疼痛广泛、功...
核心提示:桡骨小头半脱位是幼儿常见的肘部损伤之一,以2-3岁的男孩多见,病因为幼儿跌倒时桡骨向近侧、尺侧旋转,发生桡骨头脱位。常见的是大人领患儿上台阶时,牵拉胳膊时出现。那么桡骨小头半脱位应该怎么护理?如何预防桡骨...
核心提示:现在由于生活的压力,导致很多的人都患有腰椎间盘突出,它的出现给患者的生活造成了一定的困扰,提醒大家的是在生活中要是不注重腰椎间盘突出的预防,就会有一些关于腰椎间盘突出的症状出现,我们来了解一下腰椎间盘突...
核心提示:骨质疏松症容易引发骨折,严重可导致患者死亡,那么应该如何预防骨质疏松症?广州中医药大学第一附属医院脊柱专科张顺聪主任医师告诉家庭医生在线编辑,生活中预防骨质疏松症,需戒烟少饮酒、多摄入钙质食品、加强体育...
核心提示:耻骨联合分离症,是指骨盆前方两侧耻骨纤维软骨联合处,因外力而发生微小的错移,表现耻骨联合距离增宽或上下错动出现局部疼痛和下肢抬举困难等功能障碍的软组织损伤性疾病。跟着小编去认识一下关于耻骨联合分离的...
核心提示:颈椎病在我们的生活中是十分常见的疾病,通常患上该疾病的人都是长时间坐着,或者进行一些不良的运动。对于治疗颈椎病,我们要保证拥有一个良好的生活习惯,时刻注意生活中的小方面,尽量不给颈部太大的压力。如果你是...
核心提示:骨髓炎为一种骨的感染和破坏,可由需氧或厌氧菌,分枝杆菌及真菌引起。骨髓炎好发于长骨,糖尿病患者的足部或由于外伤或手术引起的穿透性骨损伤部位。骨髓炎饮食是有很多讲究的,不是想吃什么就吃什么,骨髓炎饮食不恰...
核心提示:现在很多人因为忙于工作而忽略了对身体的关心,其实身体的健康才是最重要的,对于很多的骨盆骨折患者来说,造成骨盆骨折病症的主要原因都是因为平时一些不好的习惯造成的。接下来为大家介绍一下骨盆骨折的护理措施...
核心提示:骨化性肌炎为进行性骨质结构于肌肉,结缔组织内沉积所引起的肌肉硬化、趾、拇畸形的一种疾病,病因不清。一部份呈常染色体显性遗传。常见于儿童或青年,表现为畸特的先天性斜颈、扭转和颈部肌肉肿胀、变硬,但多数不...
核心提示:耻骨联合分离症,是指骨盆前方两侧耻骨纤维软骨联合处,因外力而发生微小的错移,表现耻骨联合距离增宽或上下错动出现局部疼痛和下肢抬举困难等功能障碍的软组织损伤性疾病。跟着小编去认识一下关于耻骨联合分离的...
核心提示:肩周炎是肩关节周围肌肉、肌腱、滑囊和关节囊等软组织的慢性无菌性炎症,一般在秋后开始出现,随着气温的降低,冬季发病人数逐渐增多,炎症会导致关节内外粘连,从而影响肩关节的活动。其病变特点是广泛,即疼痛广泛、功...
核心提示:肋软骨炎是是前胸部疼痛常见的原因。其原因一般认为与劳损或外伤有关,好发于上臂长期持重的劳动者。有非特异性肋软骨炎和感染性肋软骨炎两种,前者临床中最常见的是非特异性肋软骨炎,表现为局限性疼痛伴肿胀的自...