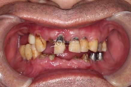
真实还原种植牙修复过程

  当人们的牙齿掉了以后,做种植牙是很不错的选择,但是为了能够让自己放心的做好种植牙,大家都想知道种植牙修复过程。那么,种植牙修复的操作过程到底是怎么样的?

  种植牙修复过程:

  1.种植手术前的检查和设计:做种植牙前,医师详细询问患者的病史,做必要的全身和口腔检查,摄X线片,了解拟种植牙部位的骨质和骨量,以确定患者是否适宜做种植牙,并根据患者的要求为患者提供种植牙治疗方案。

  2.植入种植体:在局部麻醉下将种植体种植牙植入牙床骨内,严密缝合,7-10天拆线。

  3.骨愈合期:骨愈合期的长短视患者种植床的骨质状况和种植部位而定。骨质条件差、甚至需采用骨增量技术的患者,则需要3~6月,甚至9个月时间的骨愈合期。

  4.连接骨愈合基台:当种植体完全与颌骨结合后,在种植体上连接一个愈合基台,使软组织袖口在二至三周内成形。

  5.完成种植牙修复:当软组织袖口形成后,医生用一永久性基台替换愈合基台,取印模,对修复的牙齿进行设计,牙冠或牙桥做好,就可配戴由种植体支持的牙齿了。

  真实还原种植牙修复过程

种植前

种植后

 种植牙修复过程因不具破坏性,种植牙已被口腔医学界公认为缺牙的首选修复方式。常规种植修复完成需要3~6月的时间,复诊4~6次。


相关阅读:

打溶脂针副作用有哪些?
整形先做鼻子还是眼睛
怎么样去皱纹
闻所未闻 声音丰胸法日本风靡
地铁有位不敢坐?都是肥臀惹的祸!