在生活当中人们总是需要小心点,一不小心引发造成的问题可能就会引起自身的危害。比如那些骨折的患者,出现了走路脚脖子疼的情况。如果患者真的出现这种情况的话,先不要担心,而是应该要多注意一下骨折的状况才行。  ...
谁都想拥有一个健康的身体,但是不是每一个人都可以拥有的,因为生活里面存在了太多的未知数,所以我们连自己什么时候会出现健康问题我们都是不知道的,所以我们一定要时时刻刻的关心自己的身体。如果有人出现了身体问题的时...
形象对于一个人来说是很重要的,所以我们需要在自己的形象上面下下功夫才行。比如当我们脸颊两侧和额头长痘的时候,我们要想方设法的去解决才行,不过我们在解决这个问题之前,我们要先了解自己脸颊两侧和额头长痘的原因,不然...
  我们每天吃的东西,很容易藏匿在牙缝等刷牙不易刷到的地方,即使是每天早晚都刷牙,也并不能把牙垢完全清除干净,牙垢长期的累积,就会导致我们的牙齿发黄发黑,一口洁白的牙齿是我们笑容自信的关键,牙齿黑黄是非常影响美观的...
  谁都不希望自己总是被疾病缠绕,但是这个是不太可能的事情,因为生活当中存在了太多的疾病,有的时候我们就有可能因为某一种原因而被其中一种疾病缠绕,特别是那些常见的疾病,它们更加容易缠绕在我们身上。就拿乳腺增生这...
  疾病不可怕,可怕的是疾病出现之后,我们束手无策,所以我们最好是多去了解一下相关的知识。就拿肾囊肿这种常见的疾病来说,它的治疗方法很简单,同样它也是很容易复发的,所以我们要多加注意才行,多去了解一下肾囊肿的相关禁...
 如果我们脸上长了黄褐斑的话,那么它不仅仅影响到我们的外在形象,而且严重影响到我们的身心健康,所以我们一定要想办法去解决才行,因为脸上长了黄褐斑是可以通过一些方法来去除的。目前可以去除脸上的黄褐斑的方法有很多...
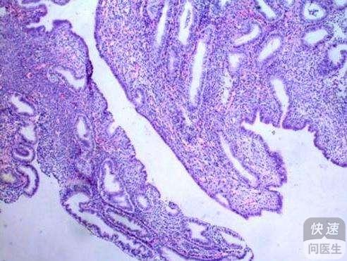
 “三分治七分养”指的是对胃病的调理。胃病是一大类慢性疾病,比如慢性萎缩性胃炎、慢性浅表性胃炎等都属于慢性胃病。慢性胃病的治疗时间很长,病情可能时常反复,那么慢性胃病怎么调理?这里小编就来给大家详细地讲解一...
在生活当中人们多多少少都是存在着一定的健康问题的,比如有一些人因为某一种原因导致自己成为一个肾虚的患者。如果我们不幸成为一个肾虚的患者的话,我们不用担心,因为肾虚的治疗方法有很多种,其中按摩就是一种不错的方法...
怀孕是一个充满期盼的过程,大家都渴望新生命在母体内孕育而生,但是因为各种各样的原因,胎儿可能不在母体内待到足月才分娩,这个现象称之为先兆流产。这种情况下,胎儿可能保不住,即便是保住,也有可能先天不足。那么什么是先兆...
  现在很多女性都觉得胸大还才是美的。于是就拼命的丰胸。只要能丰胸的方法无所不用,真是叫人头疼。很多女性觉得按摩可以促使胸部变大,有一部分女性去美容院注射硅胶,有一部分女性食疗丰胸。靠食疗丰胸的女性问,火火龙...
 健康的身体肯定是人人都想拥有的,但是这个好东西不是我们想拥有就可以拥有的,因为只要我们不去注意一下自己的身体,我们就会失去这个好东西,所以我们要多花点时间在自己的身体上面来。如果有一些女性不小心因为某种原因...
 现在的生活生活压力工作压力都很大,人们常常对自己不可预知的未来感到迷茫,久而久之就容易患上精神焦虑症,这种疾病会给患者和身边的人带来一定的影响,所以放精神焦虑症发作的时候,我们需要学会这些自救的方法,来帮助自己...
  维生素b12是我们人体不可缺少的营养元素之一,如果我们人体缺乏维生素b12的话,就会使身体的抵抗力下降,给身体带来一定的危害的。维生素b12有什么作用及功能呢?下面就让小编为大家介绍一下。  什么是维生素b12呢? ...
  大家都知道,甲醛对我们的身体会造成伤害,而现在许多装修的家庭,对甲醛超标都非常头疼,它在我们生活几乎是无处不在。比如家具、油漆等等,这些里面所含的甲醛会给我们带来一定的危害,甲醛具有很强烈的致癌作用,而且对我们...
  最近,河南的张女士几天前剖腹产下一个七斤重的男婴,全家人感到非常高兴。就在婴儿出生后的第三天,在检测胆红素的时候,医生发现新生儿胆红素高。这可急坏了张女士,不知道孩子是不是出现了什么问题。那么新生儿胆红素高...
 任何一个人都希望自己可以是健健康康的,但是这个是不太可能的事情,因为生活当中存在了太多的健康问题,有的时候我们一个不小心就有可能患上某一种健康问题。就拿接触性皮炎这个健康问题来说,人们之所以会出现这个健康问...
  对于子宫内膜间质肉瘤这类疾病来说,积极的进行检查、诊断和治疗都是非常重要的,现如今常见的检查子宫内膜间质肉瘤的方法包括B超检查、彩色多普勒测定、术前诊刮和实验室检查等,医生则需要根据患者的检查结果来进行...
  当女性步入了更年期都会出现心烦气躁的情况,会经常的发脾气,而且性情也有很大的变化,甚至喜怒无常,这是因为女性在更年期,身体内的雌激素开始减少,性激素的退潮有很大的关系,不同女性会有不同更年期的反应,每个女性都要经...
  皮肤颜色和粗糙程度是女性比较关注的问题,这也是男士比较看中的,因此皮肤白皙是每个女性想要追求的,这也能让她们看起来更加年轻。那么皮肤发黄暗淡怎么办?有哪些方法可以解决这个问题呢?下面就让小编为大家解决这个...