核心提示:我们经常在电视上看到,在医院的急诊室或岸边、马路上,对于伤员,会有医生或懂急救常识的人做心肺复苏,其中人工呼吸是很重要的一个方面,对于这些救人的场面,我们是不是不禁赞叹呢?我们在生活中是不是也应该学会,以应对...
核心提示:谁都想拥有一个健康的身体,但是不是每一个人都可以拥有的,因为生活当中只要我们稍微不注意一下,我们就有可能出现某种健康问题,比如有一些人因为某种原因导致自己肾上腺增生。如果有人出现这种情况的话,那么这些人...
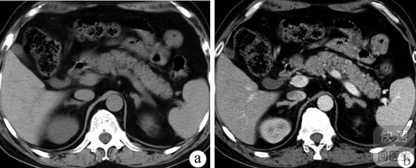
核心提示:疾病那么可怕,谁都不希望患上的,但是这个不是我们人为就可以控制的,因为生活的一个不小心就有可能让人们患上疾病,比如生活当中有一些人因为某种原因导致自己患上前列腺炎。如果真的有人不幸患上前列腺炎的话,那些...
核心提示:生活当中人们常常会因为某一种原因而出现某种情况,特别是身体上的,比如有的人就会因为每一种原因导致自己出现骶丛神经损伤。如果生活当中真的有人出现了骶丛神经损伤的情况,那么这些人一定要在治疗方面下下功夫...
核心提示:任何一个人都想要拥有健康的身体,但是这个是不太可能的事情,因为生活当中只要我们稍微不注意一下,我们的健康就很容易出现问题。比如有一些女性会因为某种原因导致自己的下半身分泌出咖啡色的分泌物,如果女性出现...
核心提示:妊娠高血压是孕妇在怀孕的时候会出现的一种疾病。这种疾病会严重危害孕妇和胎儿的健康。患者会表现出血压升高、水肿、蛋白尿的症状,当然很多妊娠高血压孕妇的眼底也会发生变化。所以如果孕妇出现视力模糊的情...
核心提示:谁都想拥有一个健康的身体,但是想要拥有健康的身体真的是一件很难的事情,因为生活当中存在了太多的不小心,有的时候一个不小心就有可能让我们的身体出现问题。比如有一些人因为尿道口发炎而患上尿道炎,如果有人真...
核心提示:牙齿作为我们吃食物的关键工具,所以需要我们更加用心的呵护自己的牙齿。但是由于某些原因,整牙后我们的牙齿缝隙可能会变的比较大。针对整牙后牙齿缝隙变大的原因我们给出一i但建议,帮助大家更好的呵护自己的牙...
核心提示:前不久,一名幼儿在游泳的过程中遇到了溺水的事故,但是期间工作人员以及家长都没有发现,一直到孩子奄奄一息才被救起,虽然说已经脱离了危险,但是希望大家在生活中也一定要注意幼儿的安全,减少同类事故的发生。  20...
核心提示: 百姓常说的“感冒”实际是指两种疾病,即“普通感冒”和“流行性感冒”,一般我们所说的都是普通感冒。一般来说,我们得的都是普通的感冒。针对感冒浑身发冷我们给出一点建议,帮助大家更好的呵护自己的身体健康。...
核心提示:谁都想拥有一个健康的身体,但是拥有健康的身体的确是一件很难的事情,因为生活当中只要我们稍微不注意一下,我们就会失去健康的身体。比如有一些人因为某一种原因导致自己左附件疼,如果真的有人出现这种问题的话,那...
核心提示:谁都不希望自己在生活当中这里出现问题,那里出现问题的,但是这个是不太可能的事情,因为生活当中只要我们稍微不注意一下,我们就可能会这里出现问题,那里出现问题的。比如有人会因为某种原因而导致自己口腔湿疣,如果...
核心提示:有盆腔炎能马上上环吗?答案是否定的。女性在盆腔炎的状态下上环可能导致炎症加重,无疑对病情是雪上加霜。那么盆腔炎如何治疗,小编已经告诉你盆腔炎的治疗方法。主要有抗菌药物的使用,如果有脓肿形成,最好是切开引...
核心提示:地中海贫血的症状是什么?小编已经为你细说地中海贫血的临床表现。轻度地中海贫血的患者无任何明显的表现,可能仅仅为轻度贫血,而中到重度的地中海贫血患者会有明显的贫血貌,眼睑及其脸色发白,心脏代偿性增大。确诊...
核心提示:胡萝卜和芹菜在日常生活当中都是非常常见的一种蔬菜,而随着近几年养生运动的兴起,越来越多的人将水果和蔬菜榨成汁饮用,以此来达到保健养生的功效。不得不说胡萝卜芹菜汁就非常受欢迎,因为无论是从口感上还是从营...
核心提示:肾位于腰部,左右各一个,现在由于生活压力大,生活无节:吸烟、饮酒、作息没有一定的规律,过度劳累,很多有均会出现肾虚,肾虚症状为:腰酸无力、燥热、头晕、耳鸣等,无论男女都面要适当的补补肾。下面讲一下日常生活中如保...
核心提示:现在会主动献血的人越来越多,但是献血也不是说你想要献就能够献的,需要达到一定的要求才能够献血,很多人对于这方面的知识并没有很了解,所以到了献血的地方却不能够献血而觉得非常的沮丧。  现在会主动献血的人...
核心提示:维生素E可以清除自由基,改善皮肤弹性,推迟性腺萎缩进程,起到抗衰老的作用。所以饮食以清淡为主,可以多吃蔬菜果瓜,保持大量维生素的吸收,黑木耳、莲子等都是很好的进补食物,可以调节免疫功能。  关于女性的话题,从...
核心提示:眼袋发紫与化妆品使用不当有很大的关系,如果女性朋友在生活中没有根据个人的肤质情况来选用化妆品和护肤品,就很可能会出现化妆品或护肤品残留的情况,长久如此,眼周的血液循环和新陈代谢功能就会受到很大的影响,最...
核心提示:在一天之中,你可能会因为各种原因感到头晕恶心,可能是蹲久了突然起身,或者是因为寻常的感冒发烧,也可能是因为突然的剧烈运动。因为这种症状持续时间很短,几乎是刹那,所以我们不会过于在意,造成头晕恶心的原因有很多...