核心提示:当肩颈不适时,人们都会想到颈椎病,但其实颈椎病的表现可不只肩颈不适,还可能在全身的其他地方表现出症状。据骨科医生介绍,颈椎病不单单会表现为脖子僵硬、肩膀疼痛,还可能有四肢麻木、视力减退、头晕头痛、胸闷心...
核心提示:在结核患者中估计有3%患骨关节结核,因而目前在我国骨关节结核仍然是常见病,多见于青壮年。本病在老年患者有逐年增多趋势。骨与关节结核的饮食禁忌有哪些?下面我们一起来看看吧。一、骨与关节结核的饮食禁忌有哪...
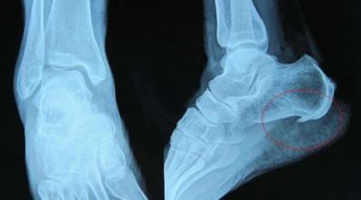
核心提示:距骨骨折较少见,多由直接暴力压伤或由高处堕落间接挤压所伤。后者常合并跟骨骨折。距骨骨折,易引起不愈合或缺血性坏死,应及早诊治。距骨骨折的饮食禁忌有哪些?下面我们一起来看看吧。一、距骨骨折的饮食禁忌  ...
核心提示:膝关节有极度的移位发生时可发生韧带形态连续性的丧失,完全断裂,多表现为复合不稳定急性期,患者膝关节肿胀、疼痛保护性肌紧张,阳性体征难查出,早期诊断困难;膝关节内侧副韧带断裂应该怎么护理呢?一、膝关节内侧副韧...
核心提示:膝关节有极度的移位发生时可发生韧带形态连续性的丧失,完全断裂,多表现为复合不稳定急性期,患者膝关节肿胀、疼痛保护性肌紧张,阳性体征难查出,早期诊断困难;膝关节内侧副韧带断裂应该怎么护理呢?一、膝关节内侧副韧...
核心提示:肋骨骨髓炎不仅要及早治疗,在治疗的同时掌握好患者的饮食注意事项,能帮助患者增强体质,提高患者的生存治疗和促使患者早日康复。核心提示:肋骨骨髓炎不仅要及早治疗,在治疗的同时掌握好患者的饮食注意事项,能帮助患...
核心提示:先天性髋关节脱位简称CDH,又称发育性髋关节脱位或发育性髋关节发育不良(DDH)及髋发育不全,是较常见的先天性畸形,股骨头在关节囊内丧失其与髋臼的正常关系,以致在出生前及出生后不能正常发育。一、先天性髋关节脱位...
核心提示:黄韧带骨化症同局部力学因素、代谢异常、家族遗传等众多因素关系密切。各种使黄韧带的骨附着部负荷异常增强的因素都有可能造成韧带损伤,而反复的损伤累及和反应性修复过程将导致韧带的骨化。跟着小编去认识一...
核心提示:骨质增生症多发于中年以上。一般认为由于中年以后体质虚弱及退行性变;长期站立或行走及长时间的持于某种姿势,由于肌肉的牵拉或撕脱、出血,血肿机化,形成刺状或唇样的骨质增生;跟着小编去认识一下关于骨质增生的相...
核心提示:骨血管瘤是一种呈瘤样增生的血管组织,掺杂于骨小梁之间,不易将其单独分离。从组织学上分为海绵状血管瘤及毛细血管瘤,前者多见于脊柱和颅骨,后者多见于扁骨和长管状骨干骺部。跟着小编去认识一下关于骨血管瘤的相...
核心提示:由于长期的伏案工作,颈椎病的发病年龄已经从40岁提前到30岁,并成为名副其实的白领职业病。与其等到颈椎受伤后再去接受长期繁琐的治疗,不如先发制人,主动出击,每天坚持动一动,使自己远离病痛。一、颈椎病患者有哪些...
核心提示:腰肌劳损是一种严重危害腰部的骨科疾病,会给患者带来难以忍受的疼痛,而且还会出现腰部僵直的情况,患者需要长时间的卧床休息。那么腰肌劳损的患者需要进行怎样的护理呢?下面就来为大家详细介绍一下。一、腰肌劳...
核心提示:胸椎椎管狭窄症多见于中年男性,其病因主要来自发育性胸椎椎管狭窄和后天退行性变所致的综合性因素。在脊椎椎管狭窄症中胸椎椎管狭窄症远较腰椎和颈椎少见。跟着小编去认识一下关于胸椎椎管狭窄症的相关知识吧...
核心提示:神经纤维瘤(neurofibroma)是生长在神经干处的以纤维细胞为主的良性肿瘤,是皮肤、深部软组织、神经和骨的一种复杂性肿瘤。骨神经纤维瘤的护理 有哪些?一起来看看吧。一、骨神经纤维瘤的护理  护理1.严密观察病...
核心提示:年过七旬的王女士,一年多前突然出现脖子痛、双手双脚麻木、两条腿也发僵,5个月前开始胳膊也无力,不能行走。随即她前往一家大医院就诊,诊断为脊髓型颈椎病,高位截瘫,立即做了手术,可术后仍是四肢无力、麻木,不能站立...
核心提示:滑囊炎是一种炎症疾病,它主要处于在人体的关节处,只要身体摩擦力或者压力较大的地方都会出现滑囊。所以,每个人在生活中都要做到一定的预防措施,避免疾病的入侵,患有疾病的患者也要及时的去医院进行治疗,早日康复。...
核心提示:很多患者出现了风湿性关节炎的时候,对于身体的伤害是比较大的,生活护理方面其实方法比较多,大家可以在出现疾病后,到医院治疗检查之后才行,养成一定的生活习惯,这样才能有健康的危害。很多人对于风湿性关节炎护理不...
核心提示:外伤性股骨头坏死疾病是关乎于每个人一生是否能够健全的疾病,因为此疾病会并发骨股头塌陷,而且导致骨关节炎疾病,严重患者还会有导致伤残和瘫痪的情况。当患者发现自己患病时,一定要及时的治疗,避免错过疾病的最佳...
核心提示:骨关节炎是一种以关节软骨退行性变和继发骨质增生为特征的慢性关节疾病。此疾病有明显的年龄依赖性,60岁以上的人,约80%具有关节退变。  得了关节炎,还能打太极吗?  骨关节炎是一种以关节软骨退行性变和继发...
核心提示:相信很多人都有过头晕的经历,长时间的头晕会对正常的生活和工作造成影响,令人苦不堪言。而当出现头晕时,由于大多数人都知道颈椎可能刺激血管导致头晕,因此,很多人会在发生头晕的第一时间联想到是颈椎犯了毛病。那...