
口腔健康不易维护,易感染
不是每个人都适合做烤瓷牙的。如果口腔环境不好(例如牙周炎、牙龈出血、牙龈肿胀等),容易引起感染。另外牙齿和牙冠密合不好时也容易引起继发牙病。
连体烤瓷牙容易引起继发牙病
一是连体烤瓷牙咀嚼时受力不均,更容易松动,给细菌可乘之机;二是做烤瓷牙时,医生将牙齿磨损得太多,导致烤瓷牙冠太接近牙髓,易诱发感染。所以,烤瓷牙还是适宜单颗单颗的来做。
烤瓷牙容易引发牙龈萎缩
烤瓷牙的正确的做法应该是把接缝藏到游离龈里面,如果医生磨牙的时候磨深了。伤害了附着龈和牙齿之间联系的纤维。随后又把烤瓷牙横在两者之间,那么在牙龈和烤瓷牙之间是不可能建立纤维连接的,那么很快,这部分没有牙齿的支持的牙龈就会变短,恢复到合适的游离龈宽度。表现在患者口腔里面就是牙龈萎缩了。
烤瓷牙材料引发过敏
非贵金属烤瓷牙是由镍铬合金制成的金属内冠外高温烤瓷而成,由于其价格相对较低,因此目前在我国应用较多。但是,这种烤瓷牙存在以下缺点:边缘密合性差;与人体的生物相容性差,部分患者配戴一段时间后颈缘处的牙龈组织会出现“黑线”,在国外甚至还有此类烤瓷牙引发的过敏反应的病历报道再者,所以临床上较容易出现崩瓷现象。

烤瓷牙适应症:
1.由于牙髓、根尖周病变或者隐裂等原因而进行根管治疗后需要修复的患牙;
2.变色牙,如死髓牙、四环素牙和氟斑牙等不宜用其他方法修复的患牙;
3.畸形小牙、釉质发育不全等需要改善牙冠形态的患牙;
4.前牙错位、扭转等不宜或不能采用正畸治疗但又需要改善前牙美观的患者;
5.单个牙牙体缺损的修复以及固定义齿的固位体;
6.牙周病矫治治疗的固定夹板。
禁忌证
1.若其它相对磨牙少的修复方法可以满足患者美观、强度等方面的要求时不建议使用金瓷冠修复;
2.对前牙美观要求极高者,避免采用可能出现颈部灰线的金属烤瓷冠类型,如:镍铬合金烤瓷冠;
3.对金属过敏者禁忌使用非贵金属烤瓷冠烤瓷冠,贵金属烤瓷冠慎用;
4.尚未发育完全的年轻恒牙禁忌使用;
5.牙体过小,无法提供足够固位形和抗力形者禁忌直接使用金属烤瓷冠修复;
6.患者严重深覆合、咬合紧,在没有矫正情况下又无法获得足够修复空间的;

做烤瓷牙需要把自己的牙齿磨掉一些,然后再装上烤瓷牙,这种方法听上去会让人觉得对牙齿伤害很大,不过事实上,大家担心做烤瓷牙疼吗。因为手术过程中加入了麻醉技术,所以做烤瓷牙几乎是没有什么痛苦的。
随着医疗科研技术的进步,麻醉药物不断改进,可以在减轻对身体伤害的基础上发挥麻醉作用,配合口腔科医生的精准技术已经可以做到让患者的无痛的情况下完成烤瓷牙修复过程了,在这一过程中您只有精神上的紧张而没有肉体上的痛苦。确认麻醉良好以后,可以正常操作,所有的操作没有疼痛的感觉,仅仅是张嘴时间长不舒服。在牙齿预备完以后,戴上临时牙,可以保护你的牙齿,也不会感觉到疼痛。可能仅仅是牙龈由于排龈有一点轻度的不适,但是绝对可以忍受。
如果患者有比较严重的吸烟、酗酒习惯,麻醉的效果可能要差一些,可能手术过程中就会感到疼痛了。对于麻醉时候的疼痛,医生们会采取尽量轻柔的手法和无痛针。一般医生可以采取先局部的表面浸润麻醉,然后再进针,以及手法上轻柔一点,缓慢的进针,避开毛细血管。基本可以把打针的痛苦大大降低。

边缘封闭性良好
具有良好的边缘封闭性,烤瓷牙的制作要求边缘贴合,在龈下1mm处,加上专用非水溶性的粘结材料,就保证了边缘的密封。
颜色理想折射光自然
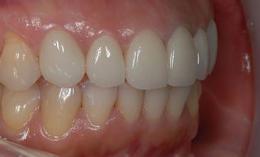
美观,颜色可调制成真牙颜色一样,当然全瓷牙颜色更理想,折光性几乎跟真牙一致。
具有保护本牙的作用
保护牙体硬组织和牙髓,因为需做烤瓷牙的牙齿往往是变色龋坏多的牙齿,烤瓷冠制作完成后,整个真牙就被金色围在中间,咀嚼时的力量作用在牙冠上,不会折裂或崩掉,而粘结瓷牙冠的粘结剂及瓷层,有良好的绝缘性,防止了外界刺激对牙髓的伤害。
生物相容性特别好
烤瓷牙具有良好的生物相容性,特别是生物贵金属制作的瓷牙和全瓷牙,因其电的化学惰性而具有抗腐蚀性,组织无过敏,而普通的不锈钢瓷牙,戴用一段时间,龈缘则可见一暗灰色的边缘。
高强度不易瓷崩
极高的强度,金嘱与陶瓷粉在高温下熔融结合在一起后,足以承受口腔内的咀嚼力,贵金属与陶瓷牙结合力更强大。
烤瓷牙修复使用的范围广,牙齿不齐又不适合其它方式矫治,可以用烤瓷牙进行修复。牙齿变色、牙齿残缺、牙齿龋齿等都可以进行烤瓷牙修复。烤瓷牙修复具有不容易出现瓷崩的情况,颜色逼真、形态好,修复的效果好。
相关阅读:
口腔溃疡反复发作?快喝糙米黄豆汤修复溃疡
牙龈萎缩后还能长回来吗
上火牙疼的原因有哪些
干槽症有几种分类
洗牙到底疼不疼 6个步骤了解超声波洗牙全过程