
(一)发病原因
颅骨骨髓炎的病因包括:在开放性损伤过程中颅骨直接被污染,而伤后清创又不够及时或在处理中不够恰当;头皮损伤合并伤口感染经导血管蔓延至颅骨,或头皮缺损使颅骨长期外露坏死而感染;开放性颅骨骨折,累及鼻旁窦,中耳腔和乳突。
(二)发病机制
颅盖部急性骨髓炎常表现为头皮水肿、疼痛、局部触痛,感染向颅骨外板骨膜下扩散时,可出现波特浮肿包块(Potts puffy tumor)。慢性颅骨骨髓炎则常表现为经久不愈的窦道,反复溃破流脓,有时可排出脱落的死骨碎片,为时过久的慢性颅骨骨髓炎,尚可在破坏区周围出现骨质硬化和增生,故X线平片可以确诊。颅骨骨髓炎的范围可以限局在一块颅骨上,亦可超过骨缝侵及多个颅骨。有时可因逆行性血栓静脉炎,将感染由骨膜下或硬脑膜外扩散至颅内,形成硬脑膜外积脓、硬脑膜下积脓和(或)脑脓肿。

(一)治疗
1.急性期 应用大剂量广谱抗生素治疗。已形成头皮下或骨膜脓肿则应早期拆除伤口缝线或切开引流,并注意伤口深处有无污物,同时将已失去活力和血供的游离感染之骨片取出。
2.慢性期 行手术清创,切除窦道,刮尽感染性肉芽组织,摘除死骨,咬除炎性骨质,直至正常颅骨为止,术中以抗生素溶液冲洗。缝合头皮伤口或大部缝合,皮下引流,术后抗生素治疗,直至伤口愈合。若合并硬膜下脓肿应同时引流处理。
3.手术方法 在局部麻醉或全身麻醉下施术,以病灶为中心或通过窦道做直线形或“S”形切口,将头皮自炎变的颅骨上翻开,清除感染性肉芽和死骨,在病变区钻骨行病骨切除,感染的颅骨由于板障血管已有血栓形成,一般均较少出血,其破坏区骨质多疏松易碎,而周边则厚实坚硬。所有病骨均应全部切除,直到露出正常颅骨板障时为止,硬脑膜外的炎性肉芽及脓液亦应搔刮干净,一般以显露正常硬脑膜0.5~1.0cm为度,但切勿穿破硬脑膜。创面用含庆大霉素1500U/ml的溶液彻底冲洗,然后全层间断缝合头皮,皮下置橡皮引流24h。遇有急性感染时,切口可松松缝合,并放置橡皮引流管,以备术后引流、给药及冲洗。
(二)预后
经抗感染和手术治疗后,本病一般预后良好。

1.硬脑膜外积脓:颅骨骨髓炎较易伴发硬脑膜外积脓,偶尔亦可因开放性颅骨骨折早期清创不彻底而引起,其时头皮伤口常已愈合。这类病人早期多有头痛、发烧、嗜睡,当脓肿形成后往往出现颅内压增高及局部脑组织受压症状,如偏瘫、失语或神经废损体征。CT扫描检查可见类似硬膜外血肿的梭形影像,早期呈低密度,一周以后渐变为等密度或高密度影。由于病灶区硬脑膜有炎性肉芽增生,能使内凸的硬脑膜显著强化,呈致密的弧形带为其特征。若为产气菌感染,则可出现液平面及所气体。
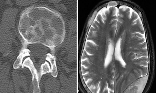
2.硬脑膜下积脓:可发生于颅骨骨髓炎之后,亦可因穿透性颅脑伤早期处理欠妥而引起感染。平时则常继发于严重的鼻副窦炎。早期病人常有头痛、发烧及颈强直等表现。稍后,逐渐出现颅内压增高如头痛、哎呀、视力下降及嗜睡等症状,但往往缺乏定位体征,较易漏诊。有时由于硬膜下积脓较大造成大脑半球受压或因皮质表面静脉血栓形成,亦可出现神经机能障碍,如偏瘫、失语或偏盲。此外,伴发局部性癫痫的机会较多,可达30%。确切的诊断有赖于脑血管造影、CT及MRI等影像学检查。脑血管造影不仅可以看到皮质血管远离颅骨内板,同时还能发现包绕在脓肿周围的肉芽组织毛细血管显影。CT平扫,早期多为紧靠颅骨内板下的新月形低密度区,常伴有大片脑水肿、脑炎、白质内梗塞灶及中线结构的明显移位。增强CT可出现边界清楚、厚度均匀的细强化带。当伴有皮质静脉栓塞和脑炎时,局部常出现脑回状强化影。MRI表现,在T1加权图像上信号低于脑实质,高于脑脊液,T2加权图像上信号高于脑实质,略低于脑脊液。

颅骨骨髓炎的症状表现有以下,一起来看看。
临床表现
急性期局部头皮呈红肿压痛等炎性反应,远处头皮可有水肿,邻近淋巴结肿大,并可伴有发热、倦怠、寒战等全身症状。外周血中自细胞可增高。如治疗不及时或炎症未能控制,感染可向颅内或颅外扩展,向外形成骨膜下脓肿;向颅内可形成硬膜外脓肿,脑膜炎或脑脓肿、感染性静脉窦栓塞等。
颅骨感染迁延未愈可转成慢性骨髓炎,局部表现可有头皮下积脓或破溃成窦道,窦道有时闭合,有时破溃流脓,脓液中可杂有坏死的小骨块,当排脓不畅时,局部及全身症状增剧。
诊断
根据头部局部表现及颅骨X线平片所见,一般不难作出诊断。由于头皮感染、颅骨骨髓炎和颅内脓肿三者往往紧密相关,对疑有颅内脓肿者应行CT扫描。
相关阅读:
股骨头坏死的早期症状有哪些?股骨头坏死能治好吗?
骨质疏松会导致腰疼吗 骨质疏松和缺钙的区别是什么?
骨质疏松腰痛怎么办?骨质疏松好治吗 ?
股骨头坏死为什么膝盖疼? 股骨头坏死注意什么?
患有强直性脊柱炎能不能怀孕? 强直性脊柱炎会不会遗传到下一代?