
一、肋骨骨髓炎护理
1、鲜清淡饮食:不吃陈旧变质或刺激性的东西,提倡多食维生素C的新鲜水果、蔬菜,选择口味清淡,易消化的食物,保持大便通畅,可适当多喝酸奶,蘑菇汤,海带汤,黄花鱼汤。
2、少食发性、刺激食物:少吃牛羊肉,狗肉,鸡肉,鱼虾等发性食物,不吃煎炸熏烤的食物,不吃味重的食物。忌烟、酒,不吃辛辣、粗糙的食物。
二、肋骨骨髓炎的饮食禁忌
1、骨髓炎患者多吃蔬菜水果。
骨髓炎患者的骨与软组织的修复离不开维生素、微量元素与宏量元素、植物荷尔蒙、纤维质等,而它们又都主要来源于新鲜的蔬菜、谷类和水果。因此,骨髓炎患者应该多使用蔬菜水果。不仅如此,蔬菜水果中所含的营养元素还能为在病理状态下的患部组织的修复提供一个偏碱性的生理环境。
2、以素食为主,少吃肉。
有些骨髓炎患者为了防止营养的缺乏进而每餐大量食用肉类,减少了蔬菜和水果的摄入量。这样不仅不能增加骨髓炎患者的营养的摄入,还会使骨髓炎患者的血液中带有酸性,造成骨髓炎患者的患部组织因循环障碍,酸性物质更多从而使在病理环境中的骨组织流失大量的钙元素,造成病骨的脱钙或骨质疏松等现象。
3、禁食酸性物质。
酸性物质会对慢性骨髓炎患者造成巨大的损害。因此,骨髓炎患者在治疗的过程中一定不要食用酸性物质。

1、穿刺吸引术
为减轻骨髓腔压力,防止炎症在骨髓腔上下扩散,对病灶处可进行穿刺吸引,同时还可向腔内注入抗生素作为治疗的一部分,是最常见的骨髓炎的治疗方法。
2、开窗引流术
在放射科照片显示骨质局部已有破坏及骨髓腔阴影增宽者,可在骨髓腔内积脓的部位进行骨皮质钻孔或开窗,防止炎症扩散,以利分泌物引流。或进行创腔的上下给抗生素闭式灌洗骨髓炎的治疗。
3、死骨取出术
对死骨较大,已具备手术时机,将死骨取出,是慢性骨髓炎的治疗中最常见和最基本的手术方法。
4、消灭骨空洞术
因骨腔大,窦道久治不愈,将较近的正常肌组织有带蒂肌肉瓣充填法、松质骨充填法等。
5、截肢术
适用于一肢多处骨髓炎,合并多数窦道,久治不愈或因慢性炎症长期刺激局部皮肤发生恶变者。

一、在感冒发烧期间,体温不可超过38.5度,此时要尽快使用抗菌、消炎、退烧类针剂静脉点滴或肌肉注射,或清热解毒、发汗解表类中成药内服,将有可能感染成骨髓炎的细菌扼杀在萌芽状态中;
二、在外伤骨折,或跌打损伤,或手术后感染中,疮臃肿毒即褥疮等疾病的发作时,一定要及时准确地对症治疗处理好,控制住细菌进一步的入侵,此时可以使用大剂量的抗感染、抗病毒、消炎类药物静脉点滴(也可以用大剂量的清热解毒,凉血活血,排毒拔毒类中药内服外用)使患者体内感染的病毒及早地排出体外或消散。
三、在日常生活中,也不可疲劳过度,过于劳累会造成人体抵抗力下降,免疫功能低下,此时细菌可乘虚而入导致骨髓炎及其他疾病的发生。
四、日常生活中,如有其他疾病的发生,治疗期间切不可滥用或长期使用激素类化学药物,此类药物使用不当则易加速骨质的硬化,骨髓腔的硬化及阻塞,造成骨细胞正常代谢功能障碍,甚至引起骨坏死。

一、症状
局部红、肿、热、痛表现,慢性病史可见胸壁窦道。
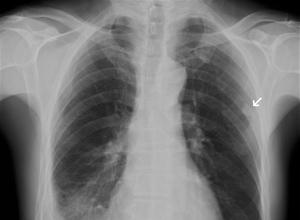
根据身体其他部位的化脓性感染,胸骨出现肿痛。结合胸部X线肋骨骨质破坏可明确诊断。
二、诊断
胸壁局部出现红、肿、热、痛,炎症严重时可出现发热、食欲不振等全身症状。慢性病史可见胸壁窦道。
血常规检查白细胞计数升高,中性粒细胞比例增高,胸部X线检查见病变肋骨局部增粗,骨质溶解破坏,可有胸膜反应征象。如治疗不及时,脓肿可向外穿破皮肤形成窦道,向内穿破胸膜形成脓胸。病程进入慢性期,皮肤上可有反复发作的窦道、有死骨形成。根据身体其他部位的化脓性感染,胸骨出现肿痛,结合胸部X线肋骨骨质破坏可明确诊断。
三、本病可通过以下四种途径发病:
①肺炎、脓胸、疖肿等化脓症,致病菌经血循环至肋骨生长繁殖。
②胸壁软组织化脓性感染直接蔓延至肋骨。
③胸廓开放性损伤,尤其伴有肋骨骨折造成肋骨感染。
④开胸手术后肋骨感染。
致病菌大多为金黄色葡萄球菌、链球菌、绿脓杆菌以及结核杆菌,克雷布氏菌亦可引起本病。
相关阅读:
股骨头坏死的早期症状有哪些?股骨头坏死能治好吗?
骨质疏松会导致腰疼吗 骨质疏松和缺钙的区别是什么?
骨质疏松腰痛怎么办?骨质疏松好治吗 ?
股骨头坏死为什么膝盖疼? 股骨头坏死注意什么?
患有强直性脊柱炎能不能怀孕? 强直性脊柱炎会不会遗传到下一代?