血色病性骨关节病吃什么好 血色病性骨关节病需要做的检查项目

核心提示:血色病性骨关节病是由于铁代谢异常引起体内铁含量过高,沉积于各内脏和器官而产生各种症状的一种疾病。临床上分为自发性和继发性两种类型。前者是由于遗传性铁代谢失调所致,特征是铁吸收过量,产生病理性铁沉着,最后导致许多器官的功能障碍,以肝、胰、心、垂体最明显。其典型临床表现为肝大、糖尿病、皮肤色素沉着和性功能减退。下面来看看这个疾病吧。

一、血色病性骨关节病的病因

  血色病性骨关节病的病因

  病因:

  由自发性或继发性的原因,引起铁代谢异常使体内铁含量过高所致。

  发病机制:

  主要是在滑膜细胞内有大量含铁血黄素沉积,有些关节软骨发生钙化,关节液内有焦磷酸钙结晶。

  自发性血色病铁质积蓄于体内的机制尚不清楚,一般有以下三种学说:

  1.肝内缺乏黄嘌呤氧化酶。

  2.组织蛋白质变异,对铁具有异常的亲和性。

  3.肠道的蛋白质分泌促进或阻止铁的吸收。

  血色病在我国少见,仅有个案报道,在欧美等国家,常有因饮酒过多而引起肝硬化合并铁过度沉积者,其发生率甚高。

  血色病性骨关节病的诊断

  血色病的诊断,除根据发病年龄,症状,体征,特别是肝大,糖尿病,性功能减退和皮肤色素沉着外,血清铁增高,特别是转铁蛋白饱和度明显增高,以及在周围血内找到含铁颗粒的巨噬细胞时即可确诊,对可疑患者或临床表现不明显时,肝活组织检查可明确诊断。

  此病有时易与类风湿关节炎相混淆,应进行鉴别,由于关节液内有焦磷酸盐结晶,亦应与软骨钙质沉着即假性痛风鉴别;由于血色病性骨关节病有特殊病变分布和影像学上的表现,不难作出鉴别。

二、血色病性骨关节病有哪些症状

  一、症状

  本病常发生于中老年人,尤其是50岁以上的人群组。男性多于女性,因为女性可在月经内定期排出铁质,故少见,但在绝经期以后可出现此病。

  在临床上,本病的主要表现为进程缓慢的多关节病变。早期一般无症状,或具有类似骨关节病的症状和体征,如疼痛、肿胀、活动范围受限等;常开始于掌指关节和近侧指间关节,也可累及髋、膝、踝、足、腕、肩等较大的关节,也有个别患者累及脊椎。本病可有急性疼痛发作,发作时关节活动功能障碍,多发生于髋关节,为期2~3周,甚至更长,以后逐渐形成持续性疼痛,逐渐加重。其他关节如踝、膝、手部关节相继发生急性疼痛,逐渐转变为持续性疼痛和晨间关节僵硬。关节病变的分布与患者的工作和外伤无关。

  检查时可发现关节肿胀,特别是掌指关节有明显骨性肿大,运动受限,并有疼痛。腕掌、指间和跖趾关节有类似变化,但较轻。其他多处关节的活动范围也受限。膝关节活动时可有咿轧声,没有滑膜增厚或积液现象,也无肌腱病变。脊柱可有正常生理弧度消失,活动受限,并有疼痛。严重型患者可出现所有症状与体征,轻者可仅有个别症状,甚至不出现关节症状。

  二、诊断

  血色病的诊断,除根据发病年龄、症状、体征,特别是肝大、糖尿病、性功能减退和皮肤色素沉着外,血清铁增高,特别是转铁蛋白饱和度明显增高,以及在周围血内找到含铁颗粒的巨噬细胞时即可确诊。对可疑患者或临床表现不明显时,肝活组织检查可明确诊断。

三、血色病性骨关节病应该做哪些检查

  血红蛋白含量和白细胞、血小板计数,以及血细胞沉降率等均正常。类风湿因子阴性。在周围血内可见有含铁颗粒的巨噬细胞。肝功能正常,部分患者表现有轻度溴磺肽钠排泄量下降。血清钙、磷含量正常。尿糖和葡萄糖耐量试验可出现异常。血清铁含量增高,正常为14.3~26.9nmol/L(80~150ng/dl)。血清转铁蛋白饱和度增高(正常为30%),有时可高达70%,甚至100%。

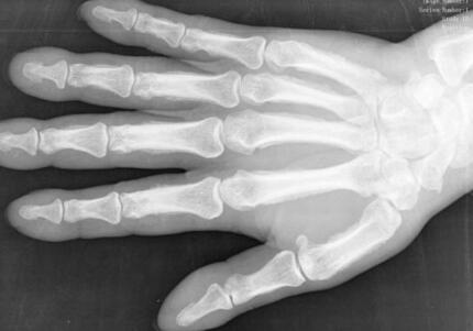
  常规X线平片检查时,可以发现掌指关节和近侧指间关节的关节下有囊肿形成、骨侵蚀、关节间隙狭窄和骨赘形成。在腕骨和下尺桡关节亦有囊肿形成和侵蚀。少数远侧指间关节也可有变化。关节下囊肿最早出现,通常位于关节近侧,常见的是掌骨头部的关节下区有直径1~3mm的圆形或卵圆形的小囊肿,周边有界限清晰的硬化区。随后出现关节间隙狭窄和骨赘形成。关节间隙狭窄不均匀,在关节受侵蚀处最为明显。但关节间隙狭窄并不一定与囊肿形成相一致,有时可有数个关节下囊肿形成而无关节间隙狭窄;也可以有明显的关节间隙狭窄而无囊肿形成。骨赘形成一般是关节严重受累的表现,但并不一定伴有明显的关节间隙狭窄。腕骨内可有边界清晰的囊肿,其直径5~6mm,常为多发性;同一骨内也可有2~3个囊肿,常见于头状骨、钩骨、舟骨和月骨。

  部分患者的远端尺桡关节和尺骨远端也可能有改变。在尺骨远端和茎突处可有数处囊肿和骨侵蚀。少数病例可在该关节的桡侧出现囊肿,甚至在三角韧带处显示混浊阴影。

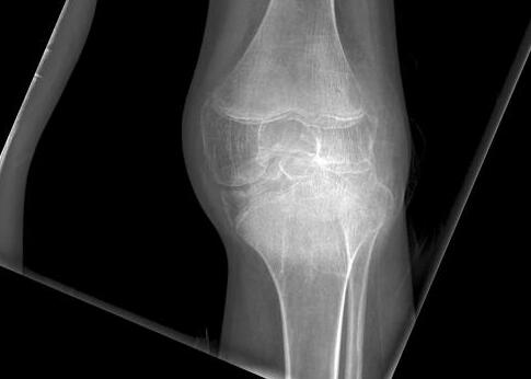
  在膝、髋等较大关节的X线表现主要是软骨混浊,此乃由于软骨钙化或铁质沉积之故。

四、血色病性骨关节病的饮食禁忌

  一、食疗方

  1、韭菜根煎洗患处,治关节酸疼。

  2、黄花菜根30克,水煎去渣,冲入适量黄酒温服,治风湿关节疼

  3、薏米粥-薏米50克煮粥,用适量白糖调味食用。每日一次,连续服用一个月。有健脾除湿作用,适用于脾胃虚弱,风湿关节炎,水肿,手脚伸屈不利,皮肤扁平疣(瘊子)等症。风湿关节疼

  4、白芥子两份,黄栀子八份,共研细末,加鸡蛋清和面粉适量,调如糊状敷患处,治跌打扑闪挫、扭伤、腰痛、肢节痛,至局部皮肤发出青紫色即愈。

  5、芋头(去皮)、生姜等量,芋头捣烂如泥,生姜捣烂绞汁,拌入芋头中,再加适量面粉,搅如糊状,根据患处大小摊于布上贴患处(冬天则要加温后贴),一日更换一次(此药必须当天配制)。可治胸膜炎,腹膜炎,阑尾炎,腰痛,腰肌劳损,坐骨神经痛,肢体节痛,肋间神经痛,跌打伤,扭伤等症。

  6、芥末30克,醋适量,芥末用少量开水湿润,再加醋调成糊状,摊在布上敷患处,再盖一层纱布,三小时取下,三至五日贴一次,治关节炎,跌打瘀血,寒性脓疡。

  7、薏米100克,煮成稠米粥。另用糯米500克煮成干米饭,与苡米粥混合,待冷,加酒曲适量拌匀(与制作糯米酒方法相同),发酵成为酒酿,每日随量佐飧食用。有健脾胃,去风湿,强筋骨之作用,可治风湿性关节炎。薏苡仁醪

  8、红辣椒十个,萝卜一个,共捣烂,敷于患处,治风湿性关节炎,敷后暂有疼痛感。

  二、不适宜食物

  忌多吃肉喝炖骨头。

相关阅读:

股骨头坏死的早期症状有哪些?股骨头坏死能治好吗?
骨质疏松会导致腰疼吗 骨质疏松和缺钙的区别是什么?
骨质疏松腰痛怎么办?骨质疏松好治吗 ?
股骨头坏死为什么膝盖疼? 股骨头坏死注意什么?
患有强直性脊柱炎能不能怀孕? 强直性脊柱炎会不会遗传到下一代?

最新评论
请先登录注册后才能发布评论。