
(一)发病原因
真正病因不详,似与骨骼生长旺盛期干骺端发生局限性骨化不良有关。有作者提出干骺端松质骨内或髓腔内出血是产生单发囊肿的成因;另外还有一种理论是囊肿壁系多种原始中胚层成分,因而认为囊肿源于发育障碍的肿瘤组织;或谓生长迅速的松质骨就可产生骨囊肿。有的作者认为,骨囊肿是部分骺板遭机械外力损害发生细胞间液循环阻断的结果。
(二)发病机制
骨囊肿的发病原因尚不明确,有各种不同的学说。
1.骨髓腔内血肿学说
因某种原因(包括外伤因素)使干骺端或其他部位骨组织内出血,形成局限性血肿,未能及时吸收或骨化,且不断增大,压迫并侵蚀周围骨质,逐渐膨胀,同时骨髓内淋巴管的渗出,形成了骨囊肿。
2.骨内静脉梗阻学说
骨在生长和发育过程中发生局部发育异常使局部静脉回流受阻导致间隙体液的积集,由于张力不断增大,促使骨质吸收,逐渐形成骨囊肿。1960年Cohen进行囊内液体化学成分的分析(糖、钠、氯、非蛋白氮、总蛋白质)及蛋白电泳的分析和血清成分相类似。Enneking与Makley进行囊内造影发现活动期骨囊肿,当注入造影剂时,附近的静脉丛立刻摄取并向周围扩散,而非活动期的骨囊肿充满造影剂,亦不会立刻向周围静脉管渗透。1982年Malauer进行了囊内测压,活动型结果为160mmH2O(12mmHg),水柱有搏动,与脉搏一致;潜伏型结果为60~100mmH2O(5~7mmHg),低于静脉压。Shindll对未经治疗的骨囊肿液体压力变化的测量发现,随脉搏变化的静脉压力相等或相近,对陈旧性病灶则测不到压力或压力很低。1986年Maski、Chigira在测量囊内的压力和对液体的气态分析后亦认为静脉梗阻是骨囊肿的主要病因。
3.骨内滑膜细胞错构学说
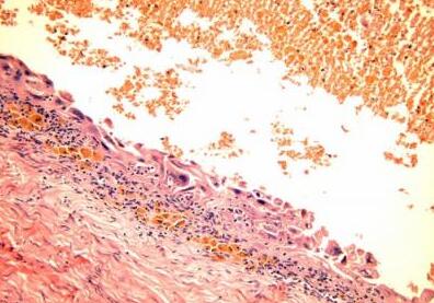
1978年Mirra首次报道了骨囊肿囊壁的电镜超微结构的观察,发现囊壁有3~4层细胞,腔细胞(Luminal细胞)有很多定向的纤毛,就像滑膜细胞和内皮细胞一样。囊壁上可看到类似滑膜的A细胞和B细胞。Mirra认为在胚胎或婴儿期,由于某种原因如产伤,滑膜细胞嵌入骨内,并还有分泌功能,分泌浆液逐渐形成骨囊肿。以此学说来解释为什么骨囊肿多发生于小儿,多发于干骺端,以肱骨上端和股骨上端多发,因它们组成的关节活动范围大,滑膜在于骺端有更多的附着。但不易解释成人发病或其他部位如肋骨、跟骨的发病。

骨囊肿常位于肱骨和股骨上干骺端,年龄大的患者常位于髂骨、跟骨和掌跖骨。约2/3的病例无任何症状,1/3的病例局部有隐痛、酸痛、轻压痛,少数病人局部包块和骨增粗,绝大多数患者在发生或反复发生病理骨折而就诊。囊壁多因外伤甚至病理骨折后意外发现。除外伤外一般没有疼痛。股骨上端病变常因步态异常才引起注意。
发病部位以长管状骨干骺端最多见,肱骨和股骨近端为好发部位。55%在肱骨近端,25%在股骨近端,其他部位股骨远端、胫骨近端、桡骨远端、跟骨、肋骨,少数见于掌骨、锁骨、骶骨、耻骨和坐骨、髂骨。
跟骨部位骨囊肿,多位于跟骨的前中部,下中多于上部,相当于后关节面的前下方,偏跟骨外侧,占1/2~2/3的宽度。
髂骨部位骨囊肿,往往呈巨大的膨胀性隆起,囊壁上有骨嵴结构亦可有小腔,需与动脉瘤样骨囊肿相鉴别。
骨囊肿多起自干骺端靠近骺生长板,由于骺板的正常新骨形成,随着年龄的增长骨囊肿逐渐向骨干方向移位。这种移动取决于正常骨的生长能力,在肱骨近端则移动大于肱骨远端。在股骨近端则小于股骨远端。也有人不同意这种说法。
病人多无明显的症状,劳累后感到隐痛,病变在浅表部位可扪及一骨性隆起、局部可有或无压痛,因此,常被忽略。约有2/3的病人发生病理性骨折。骨折经治疗后可正常愈合。肢体常发生内翻、短缩畸形,多因病理性骨折后发生,也有因病变局部骨质强度减低负重而造成,亦有因骨骺软骨的破坏而造成发育性畸形。
临床上将骨囊肿分为两型。Jaffe认为骨囊肿在骺板附近,主要是生长的、活跃的囊肿称为活动型。远离骺板的生长能力比较小,称为潜伏型。Makley和Joyce认为4岁左右,病变靠近生长板,并逐渐向干骺端移行者称为活动期骨囊肿,年龄在8~13岁,病变干骺端中部或骨干称为静止期骨囊肿。
1.活动型(活动期)
囊肿与骨骺线接近,距离小于0.5cm,年龄在10岁以下。
活动型骨囊肿说明病变正处在不断发展、膨胀的过程中,任何方法治疗,都易复发。手术后病灶复发率很高,约50%。Makley指出10岁以下,X线表现活动期骨囊肿病人,经外科手术治疗复发率高达88%。Oppenhem和Galleo指出此期手术的并发症主要为生长障碍等,发生率达17%。Shiudell等测定活动期囊液的前列腺素E2水平明显升高,说明囊内液体在使囊腔存在中通过破骨细胞活化因子的刺激起一定的作用。
2.潜伏型(静止期)
囊肿距离骺线较远,距离大于0.5cm,年龄10岁以上。
潜伏型骨囊肿,病变很少有进展趋向,病变可远离骺线在干骺端中部或骨干部位,囊肿多呈单房,有时为多房。此期治疗后的复发率较低。Neer对比了肱骨上端67例活动型和28例潜伏型骨囊肿的复发率,相差并不明显。
累及骨骺的骨囊肿很少见,病变跨于骨骺及干骺端间,膨胀性改变轻,发展慢,发病年龄较大。多见于肱骨近端及股骨近端。治疗后对关节功能影响不大,穿过生长板的骨囊肿可发生生长障碍,造成各种畸形,如内翻、成角、短肢畸形等。
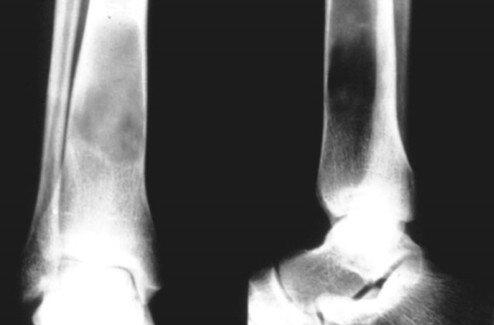
本症的诊断主要靠X线检查和病理活检。典型的骨囊肿诊断并不困难。儿童期突然发生病理性骨折,并有“落叶征”可确诊。X线检查,某长骨(肱骨上端、股骨上端)在骨骺线的偏一侧,位于干骺端的中央,有一梭形膨胀的透明阴影,其边缘由变薄的骨皮质完整的包绕,界线清楚,腔内可有不规则的骨嵴间隔则可以诊断。

药物治疗:
其理论依据是:骨囊肿常可自愈,即使是发生病理性骨折,经按一般骨折行牵引,固定等措施仍可自愈,特别是对低龄儿童,病变贴近骺板,手术易损伤骺生长板,因此,许多学者主张非手术治疗,但实际上骨囊肿自愈者不多,且常反复发生病理性骨折,近年来有人报道用皮质类固醇如醋酸泼尼松龙等药物注入囊腔可收到一定的效果,如Scagliett(1979)报道的方法是在电视X线机控制下将2根细的套管针插入或钻入囊肿内,然后将醋酸甲基去氢氢化可的松40~80mg,或醋酸泼尼松龙25~100mg注入囊肿,2~3个月摄片,再酌情注药,最多可重复6次,穿入2根针的目的:一则可使囊内液体自动流出,二则不会因用力抽吸引起过多的静脉出血影响对内容物的诊断,治疗72例中有60%愈合;目前国内外许多学者用改良的穿刺法,抽液后注射醋酸甲基泼尼松龙或注射其他制剂进行治疗,也取得了满意的效果;如丁真奇等用BMP复合牛骨胶原液经皮囊内注射治疗了8例,有7例在3~8个月内愈合,无并发症发生,Delloye等用自体红骨髓注射治疗8例,完全愈合仅1例,6例大部分愈合,1例无效。
手术治疗:
冷冻外科治疗及骨囊肿次全截除术的方法近年来已很少应用,而多采用以下两种方法:
(1)截骨清除病灶加植骨内固定:
此法主要适用于股骨上端病变,合并髋内翻或髋外翻以及多次发生病理性骨折,病灶范围很大,用开窗难以彻底清除病灶者,手术的目的一则能彻底清除病灶,二则同时矫正了髋内翻或髋外翻,对此类患者作者采用该法取得满意效果。
(2)开窗彻底刮除病灶加植骨:
手术的要点是:
①骨窗要开得足够大,一般应与病灶的长短相一致,以使骨囊腔内各个角落均在直视之下,
②刮除要彻底,特别是近骨窗的周围及骨嵴间的凹陷处,可用大小不同的刮匙完全刮除囊壁包膜,
③病灶清除后可用碘酊,乙醇或50%氯化锌烧灼骨壁,
④植骨要充分,不存留死腔,用自体骨或异体骨移植,以自体骨愈合率为高,如囊腔太大,可将自体骨植于囊壁四周,中心部植异体骨,对于有大块骨缺损者可用带血管的髂骨或腓骨游离移植加碎骨条及骨水泥填充,这样可避免或减少复发率,提高治愈率。
(3)关节镜下行病灶清除骨缺损修复:
其优点是损伤小,镜下观察下对囊肿的腔壁清除彻底后注药或对骨缺损进行修复,对骨缺损的修复,除了用自体骨和异体骨移植的传统方法外,近年有作者用BMP及自体骨膜等移植物,并取得了满意的效果。

饮食适宜:1.宜吃具有祛湿作用的食物;2.宜吃具有利尿作用的食物;3.宜吃具有消炎作用的食物。
宜吃食物
折耳根具有一定的消炎作用,可增加机体的免疫功能,有利于囊肿的消散,可减少炎症在体内的蓄积。100g凉拌食用或者清炒食用。
冬瓜属于利尿性的食物,可增加体内多余的液体的排泄,从而可减少细菌性炎症的发生率,故可促进炎症的恢复。500g与排骨同炖食用。
乌贼属于发物性的食物以及燥性明显的食物,不利于炎症的恢复,应该减少或者避免食用。宜吃新鲜的鲤鱼或者草鱼。
饮食禁忌:1.忌吃燥性比较高的食物;2.忌吃性味寒凉性的食物;3.忌吃海腥味明显的食物。
忌吃食物
沙丁鱼属于海腥味比较重的食物,可增加机体的燥性,从而诱发囊肿合并喜剧性炎症的发生。宜吃鲤鱼或者鲫鱼。
紫菜属于发物性的食物,可增加组织的血供但也可诱发微循环血栓形成,从而可造成病变部位的肿胀,宜吃白菜或者萝卜等利尿性的食物。
鸡肉属于发物性的食物,且具有很强的温补性作用,温补性的食物都不利于感染性疾病的患者食用。宜吃鱼肉或者猪肉。
相关阅读:
股骨头坏死的早期症状有哪些?股骨头坏死能治好吗?
骨质疏松会导致腰疼吗 骨质疏松和缺钙的区别是什么?
骨质疏松腰痛怎么办?骨质疏松好治吗 ?
股骨头坏死为什么膝盖疼? 股骨头坏死注意什么?
患有强直性脊柱炎能不能怀孕? 强直性脊柱炎会不会遗传到下一代?