核心提示:现如今,以颈椎病和腰椎间盘突出为代表的脊柱疾病患者越来越多,其中,除了常见的退变性病变外,不健康的生活方式也是重要的因素之一。颈椎病自测情况你知道吗?下面我们一起来看看吧。一、颈椎病自测情况  手麻测位...
核心提示:肩周炎现在也成为发病率很高的疾病,让许多的患者都承受折磨,而及时了解肩周炎的病因能够帮助大家及时做好生活中的预防措施。肩周炎的病因你知道嘛?肩周炎是一种骨科疾病,拖延和侥幸都不是正确的态度。骨科医院的...
核心提示:很多人一旦得知自己患有脊柱侧弯,就悲观的认为一定要手术才能解决,其实专家表示,并不是所有的脊柱侧弯都需要手术,一般患者侧弯度数较轻者,可以不做手术。家长仔细观察其背部两侧是否一样平,如出现两侧背部不一样高...
核心提示:创伤性骨髓炎又称创伤手骨髓炎,是由于各种创伤引起骨组织感染。多见于青壮年长骨骨干,尤以下肢为多。严重的开放性粉碎性骨折或闭合性骨折行手术骨固定术后感染均易引起本病。创伤性骨髓炎多为混合感染。创伤性...
核心提示:山西读者赵女士问:我的膝盖不太好,一下楼就感觉疼,还有些肿胀,大夫说这是关节炎。请问平时在生活中要注意怎样保养?该如何治疗?  山西读者赵女士问:我的膝盖不太好,一下楼就感觉疼,还有些肿胀,大夫说这是关节炎。请问...
核心提示:“小燕飞”就是人们模拟燕子飞行姿势进行的肢体运动,有锻炼腰背肌,缓解腰、颈、肩等部位劳损的保健作用,与小燕飞功效类似的运动还有蛙泳等。适用人群:腰肌劳损、腰肌筋膜炎、腰椎间盘突出症、腰椎峡部裂、轻度腰...
核心提示:骨质增生是多发疾病,多见于中老年人,但现在越来越多的年轻人也患上了此病。点:骨刺又称为骨质增生,一般骨刺并不引起压迫症状,但骨刺会间接地引起局部组织的慢性劳损,也会出现胀痛感。  骨质增生是多发疾病,多见于...
核心提示:胫骨内髁骨软骨病,又称胫骨内翻或Blount病。是指胫骨内髁软骨发育不良而产生的膝内翻畸形。本病好发于黑人儿童,主要表现为弓形腿。跟着小编去认识一下关于胫骨内髁骨软骨病的相关知识吧。一、胫骨内髁骨软骨病...
核心提示:肩周炎是人们最熟知的肩关节疾病,俗称“五十肩”。目前,肩周炎的发病人群正朝年轻化方向发展。遗憾的是,很多人由于不能正确认识肩周炎,在预防和治疗上存在诸多误区。  肩周炎是人们最熟知的肩关节疾病,俗称“五...
核心提示:颈椎病是颈椎骨关节炎、增生性颈椎炎、颈神经根综合征、颈椎间盘脱出症的总称。主要表现为颈肩痛、头晕头痛、上肢麻木、肌肉萎缩、严重者双下肢痉挛、行走困难,甚至会四肢麻痹,出现瘫痪。多发中老年人,男性发病...
核心提示:肩周炎现在也成为发病率很高的疾病,让许多的患者都承受折磨,而及时了解肩周炎的病因能够帮助大家及时做好生活中的预防措施。肩周炎的病因你知道嘛?肩周炎是一种骨科疾病,拖延和侥幸都不是正确的态度。骨科医院的...
核心提示:很多人一旦得知自己患有脊柱侧弯,就悲观的认为一定要手术才能解决,其实专家表示,并不是所有的脊柱侧弯都需要手术,一般患者侧弯度数较轻者,可以不做手术。家长仔细观察其背部两侧是否一样平,如出现两侧背部不一样高...
核心提示:跟腱是由连接小腿后方肌群与跟骨的带状肌腱纤维组成,张力通过肌肉收缩传递到跟腱。由于跟腱的横断面较肌肉组织小得多,约1:60左右,故而跟腱组织负担的单位张力远高于肌肉。跟腱炎一般指跟腱急慢性劳损后形成的无...
核心提示:反应性关节炎(ReA)是一种发生于某些特定部位(如肠道和泌尿生殖道)感染之后而出现的关节炎。随着人们对本病进行的一系列的临床及实验室研究证实,目前认为,反应性关节炎是一种继发于身体其他部位感染后出现的急性非...
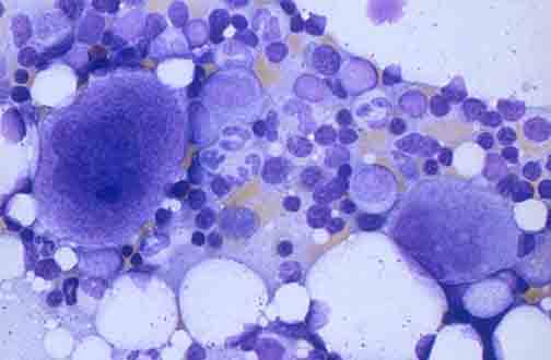
核心提示:骨髓增生异常综合征(myelodysplasticsyndromes,MDS)是起源于造血干细胞的一组异质性髓系克隆性疾病,特点是髓系细胞分化及发育异常,表现为无效造血、难治性血细胞减少、造血功能衰竭,高风险向急性髓系白血病(AML)...
核心提示:坐骨神经损伤对患者的正常生活影响很大,为了及早的摆脱坐骨神经损伤病痛的折磨,患者应及早的接受治疗,那坐骨神经损伤的表现有哪些呢?坐骨神经损伤的护理方法是什么呢?本文具体介绍如下。一、坐骨神经损伤常见的...
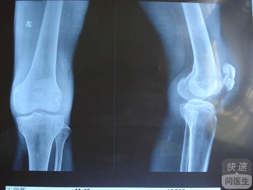
核心提示:在现在医学上,很多疾病的出现都是因为我们平时的不注意导致出现的,目前医学上出现比较多的就是我们的骨科,很多患者都是因为摔倒导致出现的,目前医学上出现最多的就是髌骨骨折疾病,出现之后我们一定要及时的进行治...
核心提示:颈椎是人体颈部正常活动的重要前提,当其发生退变或者发育不良时,就会导致颈椎病的发生,引起颈背疼痛、恶心、视野模糊、头晕等一系列不适症状,可以通过药物治疗、牵引治疗、理疗等手段使之得到好转。  颈椎病是...
核心提示:颈椎病是颈椎骨关节炎、增生性颈椎炎、颈神经根综合征、颈椎间盘脱出症的总称。主要表现为颈肩痛、头晕头痛、上肢麻木、肌肉萎缩、严重者双下肢痉挛、行走困难,甚至会四肢麻痹,出现瘫痪。多发中老年人,男性发病...
核心提示:骨质增生是中老年常见的风湿性疾病。患病率和年龄、性别、民族以及地理因素有关。如45岁以下女性患病率仅2%,而65岁以上达68%。55岁以下男女骨性关节炎关节分布相同,而高龄男性髋关节受累多于女性,手骨性关节炎...