核心提示:X型腿相信大家都是不陌生的,它主要是指两足并立的时候,膝盖可以碰在一起,但是两脚无法靠拢,就像“X”似的,就被称之为X型腿,这里疾病一般实在4-6岁的时候比较容易发的,因此家长对于X型腿的成因也是比较关注的。x型腿...
核心提示:颈椎病对于很多人来说是一件非常烦恼的事情,会影响到患者的日常生活,有的时候疼起来也非常的难以忍受,治疗颈椎病的方法有很多,但是颈椎病这种疾病治疗起来也非常的麻烦,大家一定要选择正确的方法坚持的治疗下去。...
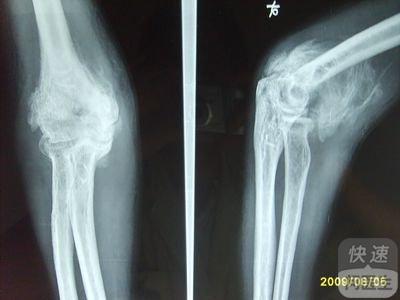
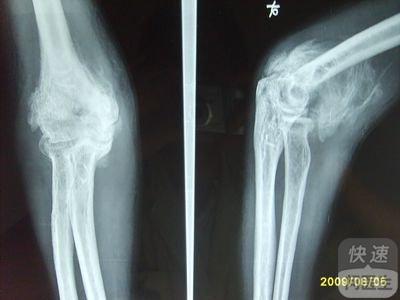
核心提示:桡骨小头半脱位又称达拉肘,是婴幼儿常见的肘部损伤之一。发病年龄1~4岁,其中2~3岁发病率最高,占62.5%。本病男孩比女孩多见,左侧比右侧多。当肘关节伸直,前臂旋前位忽然受到纵向牵拉时容易引起桡骨小头半脱位,有时幼...
核心提示:指骨骨折的患者在日常饮食上应该禁忌盲目补充钙质、禁忌多吃肉喝骨头汤、禁忌偏食、禁忌不易消化食物、禁忌辛辣食物等,患者在日常饮食上应该吃些清淡的食物、多吃新鲜的水果和蔬菜等,这样才是有助于身体恢复健...
核心提示:颈椎后纵韧带骨化症是比较严重的疾病,其治疗一般都是要通过手术进行治疗的,通过其它方法进行治疗效果都不是很好,而在手术治疗之后病人的护理是很重要的,只要护理好了能够让患者更快的恢复健康,让其能够不承受二次...
核心提示:短骨骨干结核是结核杆菌由血循环侵犯短骨骨干而致病,手足短骨骨干结核较为常见。病人多为10岁以下儿童,成年人和老年人少见,病变也常多发。那么短骨骨干结核应该如何护理?有哪些治疗方法呢?一、短骨骨干结核应该如...
核心提示:化脓性关节炎疾病一般是发生在儿童以及年弱多病的老人身上,并且在男性发病的概率要大于女性。发病之后会出现食欲减退、发热、关节剧烈疼痛等症状。极大的影响患者正常生活,所以在患病之后一定要及时的进行治疗...
核心提示:骨化性肌炎疾病是一种危害身体健康的疾病,而且此疾病还会并发肌肉破裂,严重者还会导致残废,所以患者一定要引起重视,当发现自己患有此疾病时,一定要及时的去医院治疗,然后配合医生的治疗措施,争取早日的康复。  骨...
核心提示:骨折一般指的是骨的完整性和连续性中断。多数骨折由外伤引起,称为外伤性骨折或者创伤性骨折;少数可能由于骨骼疾病所致,如骨髓炎、骨肿瘤所致骨折破坏,受轻微外力即发生骨折,称为病理性骨折。很多人都想知道骨折后...
核心提示:椎间盘突出症是中青年人群中常患的一种骨科性疾病,也是引起腰腿痛的重要原因。对椎间盘突出症的治疗,可用牵引治疗,手术治疗,清除进入椎管的髓核。在我们日常生活中有许多行为习惯会引发椎间盘突出症,如久立,久坐,不...
核心提示:X型腿相信大家都是不陌生的,它主要是指两足并立的时候,膝盖可以碰在一起,但是两脚无法靠拢,就像“X”似的,就被称之为X型腿,这里疾病一般实在4-6岁的时候比较容易发的,因此家长对于X型腿的成因也是比较关注的。x型腿...
核心提示:颈椎病对于很多人来说是一件非常烦恼的事情,会影响到患者的日常生活,有的时候疼起来也非常的难以忍受,治疗颈椎病的方法有很多,但是颈椎病这种疾病治疗起来也非常的麻烦,大家一定要选择正确的方法坚持的治疗下去。...
核心提示:桡骨小头半脱位又称达拉肘,是婴幼儿常见的肘部损伤之一。发病年龄1~4岁,其中2~3岁发病率最高,占62.5%。本病男孩比女孩多见,左侧比右侧多。当肘关节伸直,前臂旋前位忽然受到纵向牵拉时容易引起桡骨小头半脱位,有时幼...
核心提示:指骨骨折的患者在日常饮食上应该禁忌盲目补充钙质、禁忌多吃肉喝骨头汤、禁忌偏食、禁忌不易消化食物、禁忌辛辣食物等,患者在日常饮食上应该吃些清淡的食物、多吃新鲜的水果和蔬菜等,这样才是有助于身体恢复健...
核心提示:颈椎后纵韧带骨化症是比较严重的疾病,其治疗一般都是要通过手术进行治疗的,通过其它方法进行治疗效果都不是很好,而在手术治疗之后病人的护理是很重要的,只要护理好了能够让患者更快的恢复健康,让其能够不承受二次...
核心提示:短骨骨干结核是结核杆菌由血循环侵犯短骨骨干而致病,手足短骨骨干结核较为常见。病人多为10岁以下儿童,成年人和老年人少见,病变也常多发。那么短骨骨干结核应该如何护理?有哪些治疗方法呢?一、短骨骨干结核应该如...
核心提示:化脓性关节炎疾病一般是发生在儿童以及年弱多病的老人身上,并且在男性发病的概率要大于女性。发病之后会出现食欲减退、发热、关节剧烈疼痛等症状。极大的影响患者正常生活,所以在患病之后一定要及时的进行治疗...
核心提示:骨化性肌炎疾病是一种危害身体健康的疾病,而且此疾病还会并发肌肉破裂,严重者还会导致残废,所以患者一定要引起重视,当发现自己患有此疾病时,一定要及时的去医院治疗,然后配合医生的治疗措施,争取早日的康复。  骨...
核心提示:骨折一般指的是骨的完整性和连续性中断。多数骨折由外伤引起,称为外伤性骨折或者创伤性骨折;少数可能由于骨骼疾病所致,如骨髓炎、骨肿瘤所致骨折破坏,受轻微外力即发生骨折,称为病理性骨折。很多人都想知道骨折后...
核心提示:椎间盘突出症是中青年人群中常患的一种骨科性疾病,也是引起腰腿痛的重要原因。对椎间盘突出症的治疗,可用牵引治疗,手术治疗,清除进入椎管的髓核。在我们日常生活中有许多行为习惯会引发椎间盘突出症,如久立,久坐,不...