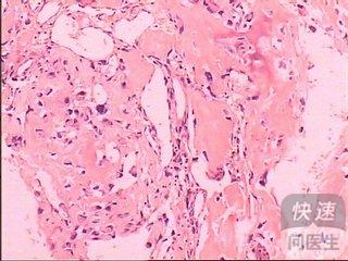
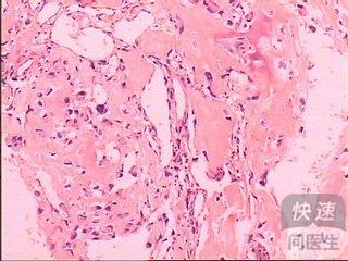
核心提示:骨肉瘤是发生在骨骼处的一种恶性结缔组织肿瘤,对人体的伤害是非常大的。所以当患上此种疾病之后,及时治疗很有必要,同时需要在饮食方面多加注意。那么大家需要了解的就是骨肉瘤的饮食宜忌到底有哪些,以及有哪些比...
核心提示:半月板损伤会给患者带来很大的影响,半月板损伤会导致人们关节疼痛,活动不便等症状,在上下楼梯时,不要太过匆忙,借助扶手稳定行走,什么事以安全第一,工作比较劳累时,要定期活动活动。如果发生了很严重的半月板损伤,要及...
核心提示:股骨干骨折对患者的影响是很大的,人体的支架就是要靠骨头来支撑的,如果出现骨折问题之后不及时的处理,那么就会影响到我们的正常生活。在发现骨折之后就要马上去进行打石膏进行治疗,并且做好饮食护理帮助患者骨折...
核心提示:先天性短腰畸形较之先天性短颈畸形明显为少见,主要以腰部缩短为主要表现,且其中部分病例伴有短颈畸形,可以通过X线片检查明确。那么得了短腰畸形吃什么好,同时又不能吃什么呢?一、短腰畸形吃什么好  饮食适宜:1、...
核心提示:生活中很多人饱受关节炎等骨科疾病的折磨,尸骨综合症就是其中的一种,对于这种疾病,大多数人都会选择手术治疗,但手术会给患者带来巨大的伤痛,而且会带来后遗症,而按摩和热敷就是一种很好的治疗方法,值得推广使用。 ...
核心提示:胫骨结节骨软骨炎 本病又称胫骨结节骨骺炎或骨软骨炎、无菌性坏死、牵引性骨骺炎,是一种少年的疾患,患儿的胫骨结节变大伴疼痛。那么胫骨结节骨软骨病有哪些症状呢?得了胫骨结节骨软骨病吃什么好,同时又不能吃什...
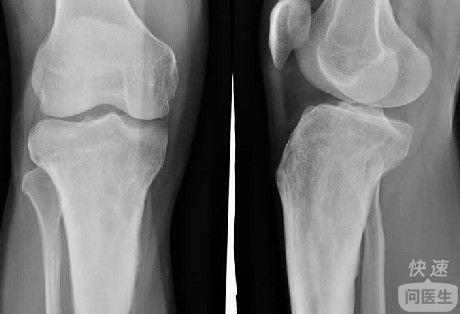
核心提示:膝关节骨性关节炎是骨关节炎疾病当中常见的一个类型疾病,其发病人群一般为老年人群体,其发作的时候会严重的影响患者的生活,尤其是在阴雨天气的时候会让患者苦不堪言。所以在发病之后要积极的进行治疗,同时做好日...
核心提示:股骨干骨折对患者的影响是很大的,人体的支架就是要靠骨头来支撑的,如果出现骨折问题之后不及时的处理,那么就会影响到我们的正常生活。在发现骨折之后就要马上去进行打石膏进行治疗,并且做好饮食护理帮助患者骨折...
核心提示:骨肉瘤是发生在骨骼处的一种恶性结缔组织肿瘤,对人体的伤害是非常大的。所以当患上此种疾病之后,及时治疗很有必要,同时需要在饮食方面多加注意。那么大家需要了解的就是骨肉瘤的饮食宜忌到底有哪些,以及有哪些比...
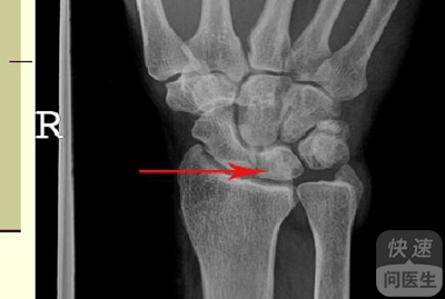
核心提示:关节扭伤,很有可能是行走,奔跑,或者在做什么事情的时候不小心没注意导致关节不小心扭到,造成了一定的损伤,这个时候其实需要进行一定的自行处理。很多人可能并不知道应该怎么处理,那么,接下来小编就来带大家了解一下...
核心提示:半月板损伤会给患者带来很大的影响,半月板损伤会导致人们关节疼痛,活动不便等症状,在上下楼梯时,不要太过匆忙,借助扶手稳定行走,什么事以安全第一,工作比较劳累时,要定期活动活动。如果发生了很严重的半月板损伤,要及...
核心提示:手部伸肌腱损伤这个疾病患上之后应及时就医对症治疗,治疗期间还应该特别注意的就是饮食,尤其应该掌握具体饮食禁忌,包括禁忌油腻煎炸等食物;禁忌刺激性的食物;禁忌腌制食物等,应该多吃些清淡的食物、多吃蔬果。  ...
核心提示:腰椎盘突出,这种疾病在生活中是很常见的,不管是青少年还是中年都是有可能出现这种情况的,对于腰椎盘突出的情况,一般医生建议能够先到医院检查一下,如果症状不严重的话,是可以通过“养”,来缓解病症的,患者需要注意腰...
核心提示:颈椎黄韧带骨化症一般是中老年人更加常见的疾病,其发生之后一般会出现韧带骨化、疲惫乏力、脊髓受到压迫、颈部出现疼痛症状的现象,不及时治疗还会出现瘫痪的情况,让老年人的生活受到极大的影响。所以在发病之后...
核心提示:大腿如果出现肌肉萎缩,一定会给患者的生活造成严重的影响。股骨头坏死以及大腿不运动是导致大腿肌肉萎缩的重要原因,如果发现了大腿的肌肉有萎缩现象,患者一定要积极治疗和护理。相信通过治疗原发病和大腿运动,患...
核心提示:在现在的医学上,很多疾病的出现都是因为我们没有及时的做好治疗措施或者是及时的进行预防导致出现的一种疾病,目前医学上,出现比较常见的就是腹部创伤的疾病,腹部创伤的术后护理也是非常的关键的,主要要从饮食还有...
核心提示:现代的人们是比较崇尚健康的生活方式的,在下班之后或者是平常有空的时候都回去健身房或是附近的公园打打球跑跑步做一下拉伸的有氧运动,我朋友就是这样的人,爱好运动要当一个阳光开朗的小伙子。但是物极必反有没...
核心提示:腰肌劳损是一种常见的肌肉疾病,是由于劳动过度所导致的损伤。如果患上腰肌劳损,患者要积极进行治疗和护理。腰肌劳损的护理措施有很多,主要包括适量的腰部运动,促进腰部肌肉的恢复。还有,患者要改变不良的坐姿,避免...
核心提示:手部血管损伤疾病是一种普遍出现的血管损伤疾病,而且这种疾病严重的患者会并发全部缺血性坏死的情况,面对这种疾病,患者一定要引起重视,避免疾病的加重,最好的措施就要积极的去医院检查配合好医生的治疗。  手部...
核心提示:骨瘤这种疾病的话在生活中是很常见的,这种疾病的话很多患者初期都是不会在乎的,其实这种疾病一旦错过最佳治疗时间的话会出现严重的恶化,对此患者要注意及时的治疗疾病。一般来说这种疾病通过及时治疗和一些护理...